
细胞名称 | |
细胞品牌 | |
细胞规格 | 1×10⁶cells/T25培养瓶 |
细胞英文 | Marc-145 ; MARC 145 ; Marc 145 ; MARC145 ; Marc145 ; Meat Animal Research Center-145 |
种属来源 | 猴 |
组织来源 | 胚肾 |
疾病特征 | 正常 |
支原体检测 | 阴性 |
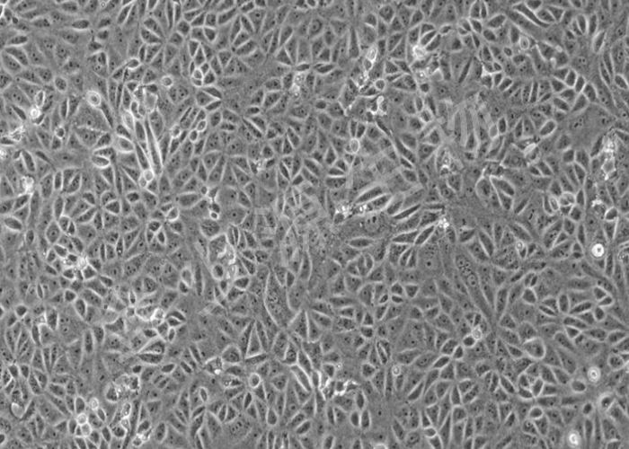
细胞形态 | 上皮细胞样 |
生长特性 | 贴壁生长 |
生长条件 | 气相 :空气,95% ;二氧化碳,5% ; 温度 :37℃ |
传代方法 | 1:2至1:6,每周2次 |
培 养 基 | DMEM+10%FBS |
冻存条件 | 90% 完全培养基+10% DMSO,液氮储存 |
细胞简介 | 该猴胚胎肾上皮细胞由金少源(上海)生物科技有限公司制备并提交,可用于基础研究和科研使用 |
发货方式 | 快递运输(特殊情况的另处理) |
供应范围 | 仅限于科研实验使用,不得用于其他用途 |