
手机扫描查看
细胞名称 | |
细胞货号 | JSY-CC1556 |
细胞英文 | T-47-D ; T47-D ; T47D:A ; T47D |
细胞规格 | 1×10⁶cells/T25培养瓶 |
细胞品牌 | 金少源生物 |
细胞用途 | 本细胞仅供科研使用 |
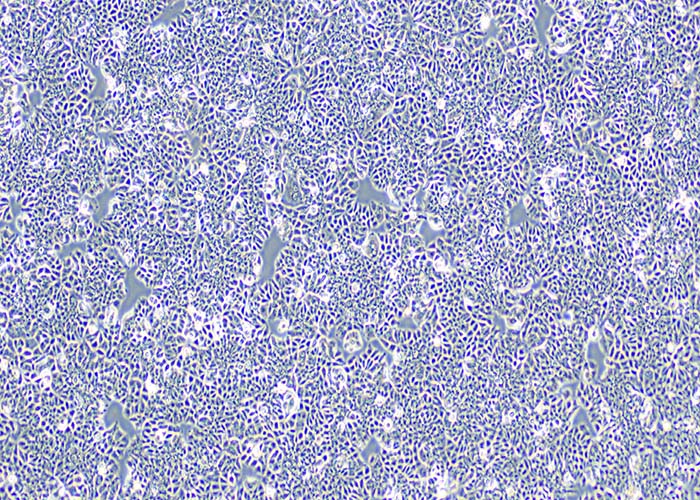
形态特征 | 上皮样 |
生长特征 | 贴壁生长 |
消化时间 | 2 - 3分钟 |
传代方法 | 1 : 2传代 |
冻存条件 | 无血清细胞冻存液 |
完全培养基 | DMEM(高糖)+10%FBS T47D完全培养基 |
培养环境 | 37℃,5%CO2,95%AIR |
培养条件 | 气相 :空气 ,95% ;CO2 , 5% 温度 :37℃ |
特征特性 | T-47由IKeydar分离自一位54岁乳房侵入性导管癌的女性患者的胸腔积液;分化的上皮亚株(T-47D)有细胞质连接和17β雌二醇及其他类固醇激素、降钙素的受体;表达WNT7B癌基因。 |